Lombriz en el cerebro
Un hombre sufría dolores de cabeza terribles.

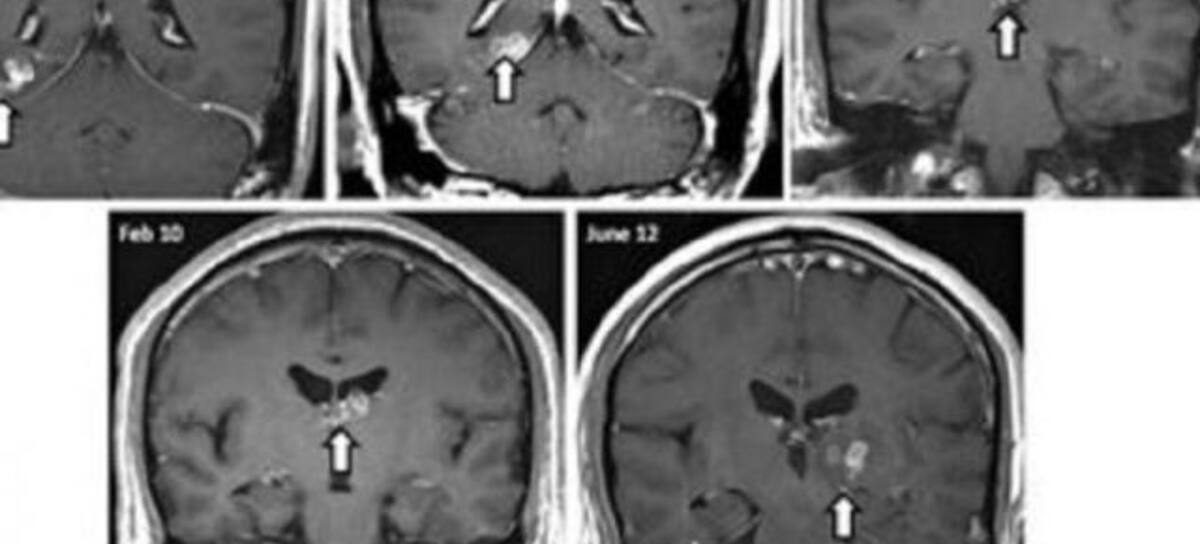
El parásito había escavado de un lado del cerebro al otro, según ha publicado The Guardián y ha recogido NY daily news.
El gusano, que normalmente se encuentra solo en China, fue descubierto cuando los doctores realizaron una biopsia al hombre de 50 años. Se cree que el paciente puede haber cogido el parásito en una visita a China, pero lo que aún no se sabes es cómo llegó a infectarse.
La primera vez que se dio cuenta de que algo iba mal fue en 2008, después de sufrir dolores de cabeza y percibir olores extraños. Se suelen encontrar este tipo de parásitos en los anfibios y crustáceos en China, pero también pueden infectarse los perros y los gatos.


