Una nueva enfermedad de transmisión sexual de la que debes cuidarte
¿Tienes entre 16 y 44 años? Esto debe interesarte

Cuando de relaciones sexuales se trata, la protección es primero. Y no solo para evitar decisiones que ahorita no quieres sino para evitar enfermedades que pueden causar tu muerte. Esta vez te compartimos una que está empezando a alertar al mundo.
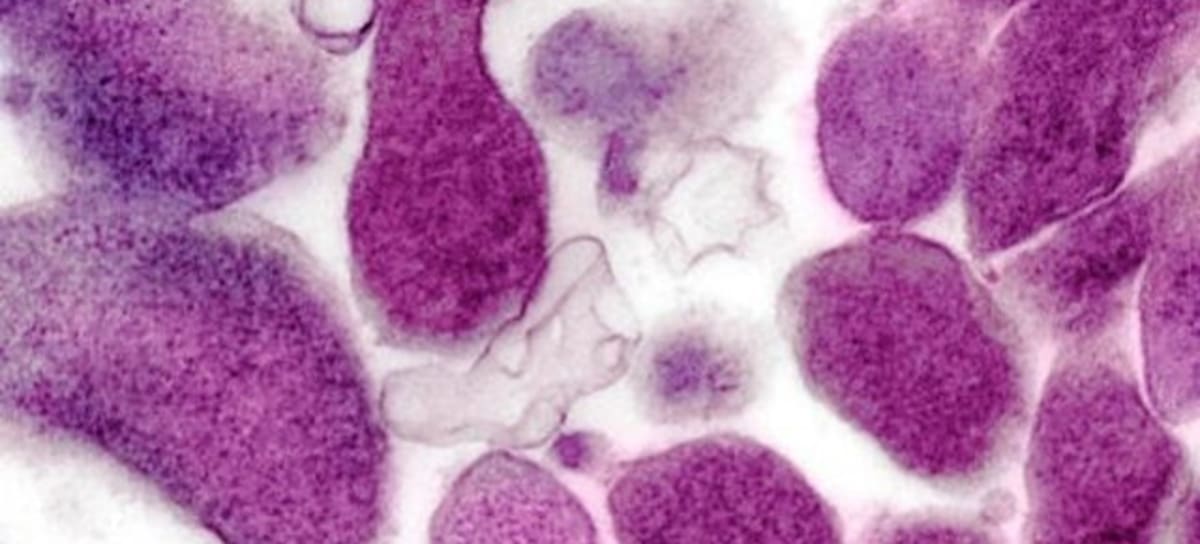
Se trata de la Mycoplasma Genitalium, una bacteria descubierta por primera vez en 1980 pero que en 2016 empezó a expandirse.
Un estudio de la University College London descubrió esta infección que causa dolor en los testículos y pelvis y en el caso de las mujeres, también sangrado.
Según las cifras, personas de entre 16 y 44 años podrían tenerlo y hasta ahora el 1% de la población mundial lo posee.
¿Cuáles son los síntomas?
En mujeres es muy parecido a una infección urinaria pues presenta dolor al orinar y en la zona pélvica, inflamación de la vejiga, flujo vaginal con un fuerte olor, enrojecimiento de la uretra. Sin embargo, su característica principal es el sangrado al tener relaciones sexuales.
En hombres, ardor y dolor al orinar, secreciones por la uretra e inflamación en las articulaciones.
Esta información es sacada de fuentes reconocidas y es solo con fines informativos. Recuerda que no toda la información en internet es verídica así que si tienes algún síntoma, ve al doctor para aclarar cualquier duda. No te auto mediques y por supuesto, siempre usa condón.


